riabilitazioni protesiche e implantoprotesiche a Siena
PREVENZIONE DENTALE
Uno degli obiettivi principali dello Studio Medico Odontoiatrico Petreni
è senza dubbio la prevenzione: infatti è solo attraverso controlli periodici personalizzati, associati a sedute di igiene orale professionale che si possono prevenire o intercettare allo stadio iniziale patologie della bocca come la carie e la malattia parodontale (o piorrea).

In ciascuna visita di controllo viene valutato quanto e come ogni paziente effettua le manovre di igiene orale domiciliare e viene corretto se e ove necessario con istruzioni di igiene orale personalizzate. Inoltre attraverso un accurato esame clinico, viene controllato lo stato di salute dei denti, delle gengive e dei tessuti di supporto del dente allo scopo di PREVENIRE o INTERCETTARE allo stadio più iniziale possibile la carie o la malattia parodontale.
Talvolta vengono effettuate anche piccole radiografie endorali che ci aiutano ad effettuare una diagnosi.
Ai nostri pazienti più piccoli, che seguiamo sin dai primi anni di vita, abbiamo cura di insegnare da subito le buone abitudini di igiene orale, e non appena comincia la permuta dei “denti da latte” effettuiamo cure a base di fluoro e/o sigillature dei solchi dei denti permanenti per rinforzarli e prevenire la carie.



IGIENE DENTALE PROFESSIONALE
Ogni giorno sulle superfici dei nostri denti, e fra questi e la gengiva, si deposita un composto biancastro chiamato “placca batterica”, composta da batteri e prodotti la loro originati; se non rimossa quotidianamente attraverso l’igiene orale domiciliare e periodicamente, in modo più preciso e completo, da parte degli operatori odontoiatrici attraverso una seduta di igiene professionale, la placca tende ad accumularsi e calcificare, trasformandosi poi in “tartaro”. Il tartaro a sua volta facilita l’accumulo di altra placca. La placca batterica
rappresenta il fattore scatenante i principali problemi della bocca
come carie
e malattia parodontale. Pertanto è fondamentale, per mantenere la salute della propria bocca la sua rimozione domiciliare e professionale.
Immagini di accumulo di placca batterica e tartaro su superfici dentali.
Le più importanti Società scientifiche nazionali (S.I.d.P.) ed internazionali (E.F.P., A.A.P.) suggeriscono di effettuare un controllo dal dentista
e l’igiene orale professionale almeno 1-2 volte all’anno
a seconda della suscettibilità del paziente e alla sua attenzione nel mantenere una buona igiene orale domiciliare.
Nello Studio Medico Odontoiatrico Petreni effettuiamo uno scrupoloso programma di RICHIAMI dei nostri pazienti adulti e bambini per i check-up annuali, semestrali o trimestrali, a seconda delle singole esigenze terapeutiche; è solo attraverso controlli frequenti che infatti si possono PREVENIRE quei fastidiosi problemi a denti e gengive dovuti alla carie e alla malattia parodontale che colpisce le gengive e l’osso che circonda e sostiene i denti.
Scopri di più

Durante le sedute di igiene orale professionale i membri della nostra Equipe (odontoiatra ed igienista dentale), attraverso l’uso di strumenti ultrasonici e manuali, provvedono a rimuovere i depositi di placca e tartaro dalle superfici dentali, e ad ogni seduta vengono effettuate istruzioni personalizzate per ogni paziente sulle corrette manovre di igiene orale domiciliare.

allineatori trasparenti invisibili

ortodonzia linguale invisibile
ODONTOIATRIA ESTETICA E SBIANCAMENTO DENTALE
Un sorriso sano e gradevole è senz’altro la prima caratteristica che colpisce nell’aspetto di una persona! Sempre più pazienti ci richiedono di migliorare l’estetica del proprio sorriso.
Oggi per fortuna abbiamo a disposizione diverse modalità per poter intervenire:
Oggi per fortuna abbiamo a disposizione diverse modalità per poter intervenire:
- Sbiancamento dentale: è una procedura che prevede l’applicazione di un gel sulla superficie dei denti discromici o che presentano un colore percepito come sgradevole, e che è in grado di sbiancarli e renderli più luminosi. E’ una procedura che viene effettuata presso lo studio da parte dell’odontoiatra o dell’igienista in 1 o più sedute, ma si possono anche associare delle applicazioni domiciliari attraverso l’uso di mascherine apposite.
- Faccette estetiche in ceramica: quando la forma e/o il colore dei propri denti non ci soddisfa è possibile modificarle applicando sopra la superficie di questi dei sottili “gusci” in ceramica fabbricati da parte dell’odontotecnico e cementati adesivamente ai denti. Le faccette rappresentano oggi una soluzione estetica affidabile, molto efficace e minimamente invasiva.
- Ortodonzia invisibile: oggi esistono degli allineatori trasparenti totalmente invisibili che permettono di correggere i disallineamenti dentali; un’altra alternativa è l’ortodonzia linguale che prevede l’applicazione dei brackets (le cosiddette “stelline”) dalla parte interna dei denti, rendendole invisibili all’occhio altrui.
ODONTOIATRIA PEDIATRICA
E’ la branca dell’odontoiatria che si occupa della cura dei denti dei bambini. Si consiglia di effettuare la prima visita dal dentista si dai primi anni di vita, così da permettere al bambino di familiarizzare da subito con team odontoiatrico e a questo di incominciare ad istruire lo stesso ed i genitori sulle corrette misure di igiene orale ed alimentare.
Visite precoci e poi periodiche permettono al team dello Studio Medico Odontoiatrico Petreni
di monitorare la crescita del bambino e qualora si presentino i sintomi ed i segni di intercettare malocclusioni dentali e/o alterazioni dello sviluppo scheletrico. Queste, appunto, se intercettate per tempo possono essere corrette facilmente.
Durante la crescita nei bambini, per rinforzare lo smalto, può essere necessario consigliare l’assunzione di fluoro o l’utilizzo di presidi a rilascio locale (Fluoroprofilassi); quando avviene la permuta dei denti da parte dei bambini (cioè quando perdono i denti da latte e li sostituiscono con i denti permanenti), consigliamo di effettuare le “sigillature dei solchi”, ossia l’applicazione di un materiale resinoso nei solchi dei denti appena erotti, allo scopo di proteggere quelle che sono le zone dove più frequentemente insorge, dalla carie.


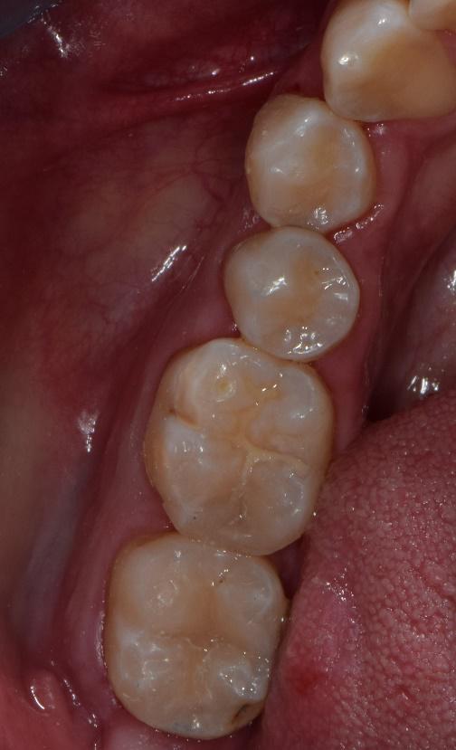
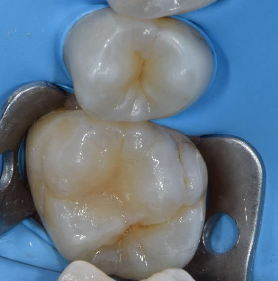
ODONTOIATRIA CONSERVATIVA
E’ quella branca dell’odontoiatria che si occupa di curare gli elementi dentali, quando vengono colpiti dalla Patologia Cariosa. Le Carie
che per profondità non raggiungono il tessuto pulpare (ove è situato il nervo) possono essere facilmente curate, mantenendo vitale il dente e sostituendo la parte distrutta dalla carie con le più moderne ed estetiche resine composite.

Le cosiddette “Otturazioni” possono essere effettuate direttamente dall’odontoiatra nella bocca del paziente, oppure, quando si deve ricostruire una parte di dente molto estesa, si può ricorrere a manufatti preparati dall’odontotecnico e chiamati Intarsi, che vengono poi cementati adesivamente sulla parte di dente residua.
Esempi di otturazioni.
Esempi di otturazioni.
ENDODONZIA
Quando la patologia Cariosa è già troppo estesa ed interessa i tessuti pulpari del dente, in molti casi il dente può essere ancora salvato, ma per mantenerlo è necessario effettuarne la devitalizzazione o terapia canalare.

Questo trattamento ha lo scopo di rimuovere la polpa dentaria, ormai inevitabilmente raggiunta dalla carie ed infiammata (o addirittura necrotica/putrefatta), contaminata dai batteri e dalle loro tossine, disinfettare i canali che la contenevano disposti all’interno delle radici e sigillarli ermeticamente.

Terapia canalare elemento 2.7: prima e dopo.
Talvolta quando denti che erano già stati devitalizzati ma in maniera parziale ed incompleta manifestano ascessi o granulomi apicali, si deve re-intervenire ripulendo i canali in maniera completa, disinfettandoli e otturandoli tridimensionalmente.
PROTESI DENTARIA
Quando si ha a che fare con denti eccessivamente indeboliti dalla carie, questi dovrebbero essere rinforzati e protetti, ricoprendoli con corone protesiche (o capsule). I più moderni materiali che oggi abbiamo a disposizione permettono di raggiungere risultati che dal punto di vista estetico sono impercettibili all’occhio umano.

Immagine di protesi fissa su arcata completa
Quando invece si sono già perduti uno o più elementi dentari, questi dovrebbero essere sostituiti per non compromettere né l’estetica, né la funzione masticatoria e per non sovraccaricare gli altri elementi residui. Questo può essere effettuato tramite l’utilizzo di protesi FISSE supportate da denti (i cosiddetti “ponti”) o a supporto implantare (radici artificiali in Titanio, che tramite un piccolo intervento chirurgico in anestesia locale, vengono inseriti al posto dei denti mancanti). Ancorandosi agli impianti si può ripristinare anche un’ARCATA INTERA. In alternativa tali elementi mancanti possono essere sostituiti anche per mezzo di protesi REMOVIBILI parziali o totali, quando mancano tutti i denti.
Nei casi in cui si è insoddisfatti dell’estetica del proprio sorriso, per la presenza di elementi discromici (con un colore diverso dagli altri) o con difetti di forma e struttura, questa può essere migliorata rivestendo tali elementi con FACCETTE ESTETICHE in ceramica.
IMPLANTOLOGIA
Quando si sono perduti uno o più elementi, la Più MODERNA TECNOLOGIA che abbiamo a disposizione per sostituirli è l’IMPLANTOLOGIA: tramite l’utilizzo di radici artificiali in Titanio è possibile sostituire singoli o molteplici denti mancanti, finanche a ripristinare un’arcata intera. Gli impianti vengono inseriti nell’osso del paziente durante un piccolo intervento chirurgico, effettuato sotto anestesia locale; successivamente, attesi alcuni mesi che l’impianto si “osteointegri” (ossia che l’osso ricresca attorno e all’interno delle spire) si può procedere a costruire la protesi. In certi e specifici casi la applicazione della protesi può avvenire anche il giorno stesso dell’intervento.
Gli impianti sono dispositivi straordinari che hanno cambiato la vita di migliaia di persone, tuttavia, come del resto dovrebbe avvenire per i denti naturali, necessitano di una cura igienica quotidiana scrupolosa e di periodiche visite di controllo da parte del dentista.

riabilitazione implantoprotesica di un dente singolo

riabilitazione implantoprotesica di più denti

Il Dr. Stefano Petreni e il Dr. Andrea Petreni, durante un intervento di Implantologia, eseguito presso lo
Studio Dentistico Petreni.
ORTODONZIA
È la branca dell’odontoiatria che si occupa di prevenzione, diagnosi e trattamento delle malposizioni dei denti, delle disarmonie dello sviluppo delle ossa facciali e delle conseguenti alterazioni funzionali della muscolatura annessa. I principali obiettivi del trattamento ortodontico sono:
• Allineamento corretto dei denti;
• Salute dei denti e del loro apparato di sostegno;
• Funzione masticatoria efficiente;
• Buona estetica del sorriso e del volto (1/3 inferiore);
• Stabilità nel tempo dei risultati ottenuti.
A che età è consigliabile fare la prima visita ortodontica?
Si consiglia di effettuare la prima visita dai 3 ai 6 anni, quando tutti i denti da latte sono ancora presenti in bocca. Questo ha lo scopo di “intercettare” eventuali disarmonie dentali e/o scheletriche che, se non corrette in fase di crescita, difficilmente possono essere risolte più tardi. Una visita in età precoce diventa inoltre importante per verificare lo stato di salute dentale e le corrette procedure di igiene orale.
L’ortodonzia si rivolge solo ai bambini e ai ragazzi?
E’ idea diffusa che le malocclusioni dentali possano essere corrette solamente durante l’adolescenza. In realtà i denti si muovono durante tutta la vita, perciò l’ETA’ NON rappresenta una CONTROINDIICAZIONE alla terapia ortodontica. Per tale ragione negli ultimi anni sempre più adulti si sono sottoposti a trattamenti ortodontici per motivazioni funzionali ed estetiche.
Il trattamento ortodontico degli adolescenti e degli adulti prevede l’impiego di apparecchiature fisse, in grado di esercitare forze continue e costanti sugli elementi dentari.
Inoltre, per venire incontro alle sempre maggiori richieste ed esigenze estetiche dei pazienti adulti, è possibile utilizzare apparecchi fissi “trasparenti” (in ceramica) o linguali (montati cioè sulla faccia interna dei denti) o ricorrere agli allineatori/mascherine invisibili.
Avere un corretto allineamento dei denti è senz’altro molto importante anche per facilitare le manovre di igiene orale che sono più difficoltose nelle zone con denti malposti e affollati. In caso di affollamento dentale infatti è impossibile raggiungere con gli strumenti di igiene orale domiciliare e professionale alcune zone, che quindi risultano più a rischio di sviluppare patologie come carie e malattia parodontale.
CHIRURGIA ORALE
È quella branca dell’odontoiatria che si occupa degli interventi chirurgici effettuati di routine nella bocca dei nostri pazienti, come le estrazioni dentarie. Oggi noi consideriamo la terapia estrattiva solo in pochi e limitati casi, come ad esempio quando un elemento è talmente compromesso da non essere restaurabile o quando la malattia parodontale ne ha indotto il riassorbimento completo dell’osso di supporto.
Una condizione che incontriamo molto di frequente sono i dolori generati dalla infezione ed infiammazione dei tessuti che circondano i denti del giudizio e che si possono irradiare al resto del volto e del cranio, associandosi inoltre anche a difficoltà ad aprire la bocca e all’ingrossamento di linfonodi locali. Quando questa condizione si ripresenta più volte, e non può essere più controllata con una terapia farmacologica, si procede alla rimozione del dente con un piccolo intervento chirurgico effettuato in anestesia locale.

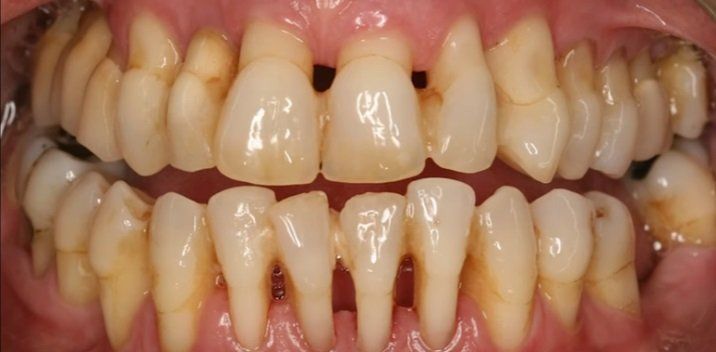
PARODONTOLOGIA
È la branca dell’odontoiatria che si occupa della cura del “Parodonto”, ossia di tutto ciò che circonda e sostiene i denti. Il parodonto è formato dalla gengiva, dall’osso alveolare, dal legamento parodontale (un tessuto fibroso che collega il dente all’osso) e dal cemento radicolare (tessuto che riveste la radice del dente).
In 1 persona su 2 (50% di prevalenza) il Parodonto viene colpito da una MALATTIA, detta appunto “parodontale” e meglio nota col nome di “Piorrea”. Questa malattia è causata dalla placca batterica, che in soggetti predisposti scatena una risposta infiammatoria nei tessuti parodontali (vicino a dove si accumula sulle superfici dentali) talmente forte che determina nel tempo un riassorbimento dell’osso che circonda il dente. Se non curata questa malattia porta alla progressiva perdita dei denti.
Un altro aspetto molto importante di questa malattia è che ha delle CORRELAZIONI CON LA SALUTE GENERALE
dell’organismo. Infatti un paziente affetto da malattia parodontale ha:
- maggiori probabilità di sviluppare il DIABETE, o di controllarlo con più difficoltà;

- maggiori probabilità di sviluppare PATOLOGIA CARDIO E CEREBROVASCOLARE (infarto, ictus)
- maggiori probabilità di sviluppare esiti gravidici avversi come PARTO PRETERMINE o BASSO PESO ALLA NASCITA.
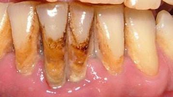
Segni tipici della malattia sono il SANGUINAMENTO GENGIVALE, le GENGIVE
che SI RITIRANO
scoprendo le radici, i DENTI CHE SI MUOVONO, L’ALITO CATTIVO. Si ha una maggiore probabilità di sviluppare la malattia se in FAMIGLIA c’è qualcuno che ha perduto precocemente i denti, se si è FUMATORI
e se si conduce una vita molto stressata.

sanguinamento gengivale
gengive che che si ritirano scoprendo le radici; denti mobili

alitosi
Se si notano alcuni o tutti di questi sintomi/segni e condizioni è importante richiedere subito una visita presso i nostri studi. Attraverso un accurato esame clinico che sfrutta uno strumento millimetrato chiamato sonda parodontale è possibile porre una diagnosi ed impostare da subito un piano di cura per bloccare questa malattia.

















